View Our Smile Gallery
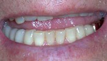
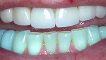
William
“The willingness and ability to smile and show those pearly whites has renewed a certain level of confidence in social circumstances. Dr. Bander does excellent work.”


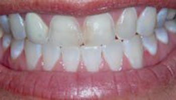
Bill first came to Dr. Bander on referral from another dentist. His front teeth were severely worn down and didn’t show when he smiled. He was also missing several back teeth that were replaced with bridges that kept coming loose.
Using the latest dental techniques, Dr. Bander created a new, more comfortable and stable bite which ultimately created enough room between the upper and lower front teeth to place veneers, restoring Bill’s teeth to their normal length. In addition, dental implants were used on the back teeth to replace the decayed teeth under the loose bridges.


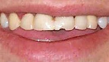
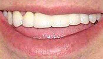
Marty
“My old dental work, a bridge, was chipped and yellowing. I was beginning to feel self conscious about it, so I called Dr. Bander’s office and was told I could get in for an appointment the same day. He performed the work in a single vist and the new bridge looks great. Dr. Bander provided a first-class experience with exceptional dental work.”


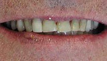
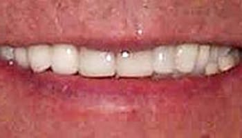
Marty lost his front teeth some 26 years prior and had a fixed bridge placed to replace the missing teeth. A large piece of porcelain recently chipped off the bridge. In addition, Marty’s other teeth were significantly whiter than the bridge.
Dr. Bander removed the old bridge and made a new bridge that was whiter in color. The teeth on the bridge and the gums over the missing teeth were contoured to give the appearance that they were natural teeth.


Terrie
“I first went to Dr. Bander because of a referral from a friend, but I returned to his practice do to the impressive value he and his entire staff place on their customers. Before I had an unhealthy smile I wasn’t confident of, but under Dr. Banders’ expert care I now have a smile I’m proud to show off!”


Terri came to Dr. Bander’s office complaining of extreme sensitivity to temperature on her front teeth. She was also not happy with the color of her front teeth.
After whitening her teeth with the take home system, Dr Bander made porcelain veneers on three of the teeth and replaced an old metal/porcelain crown with an all porcelain crown.


Gerald
“Being in a profession where I met with patients all day long I felt I needed a great smile to greet them with. I came to Dr. Bander because of his reputation in his field for expert cosmetic dentistry. I also felt completely comfortable under his care. The results under his treatment have been wonderful! I now have a smile that I am proud to show off. Dr. Bander is a great cosmetic dentist.”


Jerry was unhappy with the appearance of his front teeth. Years of wear and a combination of old discolored fillings caused his teeth to look bad.
He was treated by removing the old fillings and placing porcelain veneers on his front teeth.



